Specialty Dentistry
When Receding Gums Steal Your Comfort: A Real Look at Gum Grafting
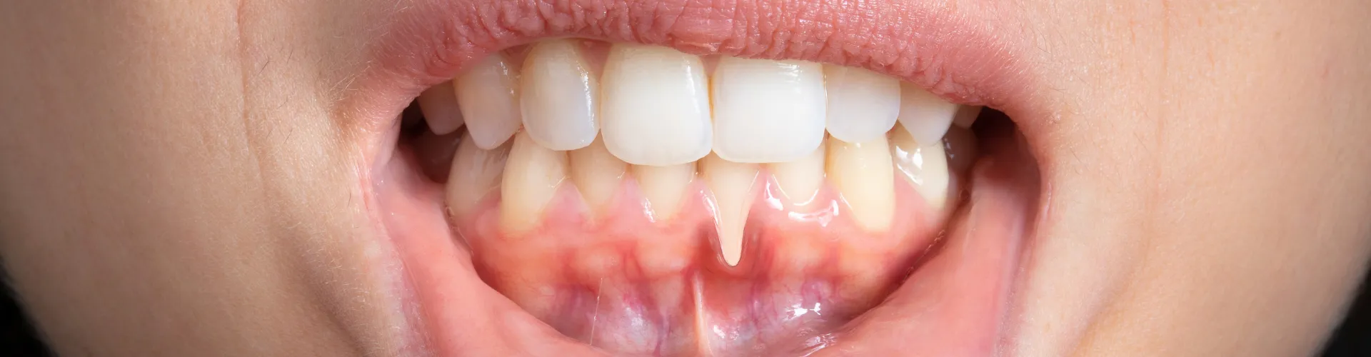
There are certain dental concerns that creep up slowly. One day your smile looks perfectly normal, and months or years later you notice a little more tooth showing than before. Gum recession has a way of sneaking into your life like that. It often begins quietly, and most people do not realize how far it has progressed until their gums feel tender, their teeth look longer, or brushing starts to feel slightly uncomfortable.
If this sounds familiar, you are not alone. Receding gums affect people of all ages. Some have naturally thin gums, others brush too aggressively, and some experience recession due to orthodontic movement, gum disease, or even genetics. Regardless of the cause, recession is not something that fixes itself. When the gums pull away from the teeth, the roots become vulnerable to sensitivity, decay, and continued bone loss.
This is where gum grafting steps in. The phrase might sound intimidating at first, but the procedure itself is far more comfortable and straightforward than most people expect. At Akemi Dental Specialists, we perform gum grafting regularly. Most patients finish their appointments surprised by how gentle the experience was and relieved to know they are finally protecting their teeth again.
This blog walks you through what gum grafting really feels like, how it helps, and what to expect during healing.
What Gum Grafting Truly Does for Your Teeth and Gums
A gum graft restores the protective tissue that your teeth are missing. When gums recede, the root of the tooth becomes exposed, and the root is not designed to be out in the open. It is softer, more sensitive, and more prone to wear and cavities.
A graft adds new gum tissue back into the areas where it is lacking. This tissue may come from your own mouth, usually from the roof of the mouth, or from donor tissue that is purified and safe. Once placed, the graft attaches to the area where your gums have pulled back, creating a stronger, thicker barrier around the tooth.
The result is a healthier foundation, less sensitivity, improved appearance, and the prevention of future recession. People often notice that their smile looks more balanced again, and chewing or brushing stops triggering those sharp, uncomfortable sensations.
The best part is that gum grafting is not a cosmetic procedure trying to change your smile. It is a healthy restoration that gives your teeth the protection they should have had all along.
What the Procedure Feels Like
Most people are surprised by how comfortable gum grafting actually is. Local anesthesia keeps you pain free throughout the appointment. You are fully awake, but the area is numb, so you will feel gentle pressure but nothing sharp or uncomfortable.
Many patients compare the experience to getting a filling, only on the gums rather than a tooth. After the procedure, mild tenderness is expected, especially if tissue was taken from the roof of the mouth, but most people manage it easily with over the counter pain relief. The graft is protected with a dressing or sutures, and your dentist will give you clear instructions about eating, cleaning, and avoiding unnecessary pressure.
People often say the recovery is not nearly as dramatic as they imagined. The biggest adjustment is being mindful of what you eat in the first week and giving your gums the quiet, gentle environment they need to heal.
Why People Get Gum Grafts
Every patient has a slightly different story behind their recession. Here are the most common reasons:
Aggressive brushing:
Trying to brush “extra clean” can actually wear away gum tissue.
Gum disease:
Inflammation can destroy the attachment between the gums and the teeth.
Thin or fragile gums:
Some people inherit a thinner gum line that recedes more easily.
Orthodontics:
Moving teeth can sometimes push thin gum tissue beyond its limits.
Grinding and clenching:
Constant pressure on the teeth can strain the supporting tissues.
Trauma or injury:
Even simple habits like lip or nail biting can irritate the gums.
A gum graft solves the problem the same way for everyone. It puts protective tissue back where it belongs and stops the recession from progressing.
How long does it take for gum grafts to fully attach and heal?
Healing is a gradual process, and the body takes its time to form a strong bond between the graft and the original gum tissue. Most grafts start attaching within the first few days, and by the two week mark, the area already feels more stable. You may still need to avoid brushing directly on the graft until the dentist clears you, but it will be healing well beneath the surface.
Full attachment typically happens over several weeks. By the six to eight week period, the graft is secure, healthy, and integrated with the surrounding tissue. For some patients, especially those who had larger grafts, complete maturity of the tissue may continue for a few months. That does not mean you will be uncomfortable during that time. It simply means the tissue keeps strengthening even after it looks and feels normal.
Your dentist will monitor the progress at follow up appointments and let you know when you can return to all your usual habits.
Can a gum graft fail, and what early signs should you look out for?
Gum grafts have a very high success rate when cared for properly, but like any medical treatment, there are rare moments when a graft may struggle to attach. Early signs are usually easy for a dentist to identify long before they become a problem.
Signs to watch for include:
Unusual movement of the graft:
The graft should stay in place. If you notice it shifting, call your dentist.
Persistent bleeding that does not match normal healing:
Some bleeding is normal, but ongoing bleeding can indicate irritation.
A patchy white or gray appearance on the graft:
This can be a sign that the tissue is not receiving enough blood flow.
Increasing discomfort instead of gradual improvement:
Most people feel better each day. Pain that gets worse should be checked.
Food constantly catching in the same area:
This may indicate separation or irritation.
The best way to protect your graft is to follow every aftercare instruction, avoid poking or touching it, skip hard foods, and keep your follow up visits. Most grafts heal beautifully when given the calm environment they need.
Do gum grafts change the way your smile looks, or does it stay the same?
A gum graft can improve your smile, but not in a dramatic or artificial way. It simply restores what was missing. If your recession made your teeth look longer or uneven, the graft covers the exposed root and brings your gum line back to a natural position.
The result is a healthier smile that also looks more balanced and normal. People who felt self conscious about long looking teeth often feel more confident afterward, not because the graft created a cosmetic makeover, but because it returned their smile to its natural proportions.
If your recession was mild, the change might be subtle. If it was more advanced, the improvement can be quite noticeable. Either way, your smile will still look like you, just healthier and more supported.
What to Expect in the First Week After Your Graft
The first week is the most important period for protecting your new tissue. Here is what most patients experience:
Mild swelling:
This usually peaks in the first few days and gradually fades.
Tenderness when eating:
Soft foods make the early healing stage much easier.
Avoiding the graft when brushing:
You will keep the rest of your mouth clean but avoid the graft area.
Sutures that feel a little unusual:
They dissolve or are removed at your follow up appointment.
A gradual return to normal comfort:
Each day feels better than the one before.
Your dentist will tell you which foods to avoid and how to clean the area without disrupting the graft. Most people return to light daily activities right away and resume their regular routine within a few days.
Long Term Benefits of Gum Grafting
While the healing process requires a little care and patience, the long term benefits are absolutely worth it. A successful gum graft can:
• Reduce tooth sensitivity
• Protect the roots from decay
• Prevent further gum recession
• Improve your smile balance
• Strengthen the foundation around the teeth
• Make daily brushing and flossing more comfortable
When your gums feel healthy and stable again, you can relax knowing your teeth are protected in the long run.
When to Consider Scheduling a Consultation
If you have noticed your gums pulling away, your teeth looking longer, or sensitivity that is getting worse, it may be time to talk to a specialist. Gum recession does not heal on its own, and catching it early makes treatment simpler and more comfortable.
A consultation at Akemi Dental Specialists gives you a chance to understand exactly what is happening with your gums, how severe the recession is, and what can be done to restore stability. You will have a full exam, and your dentist will explain whether a graft is needed now or whether monitoring is enough.
Many people feel relieved after their consultation, because they finally understand what their gums are doing and what the next steps should be.
Protect Your Smile Today
Your gums play a powerful role in keeping your teeth healthy, strong, and supported. If recession has been affecting your comfort or confidence, gum grafting can be a simple and effective way to restore that protection.
If you are ready to learn more or want an expert to evaluate your gums, schedule an appointment with Akemi Dental Specialists today. Our team is here to help you protect your smile and feel at ease throughout the process.






