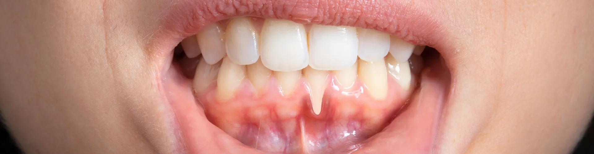
Dental Sedation for Gum Disease Treatment: A More Comfortable Way to Get the Care You Need
Learn how dental sedation helps gum disease treatment feel easier, safer, and more comfortable. Schedule at Akemi today.
Read more

Dental Specialists Encino, CA
Here's what our patients are saying about us...
Mon, Fri 6:30 am - 4 pm
Tue, Thu 6:30 am - 5 pm
Wed 6:30 am - 3 pm
Sat, Sun Closed
16055 Ventura Blvd. Suite #820, Encino, CA 91436